Cara membaca hasil tes hormon progesteron.
Jika kamu sedang mencari artikel cara membaca hasil tes hormon progesteron terbaru, berarti kamu sudah berada di website yang benar. Yuk langsung saja kita simak pembahasan cara membaca hasil tes hormon progesteron berikut ini.
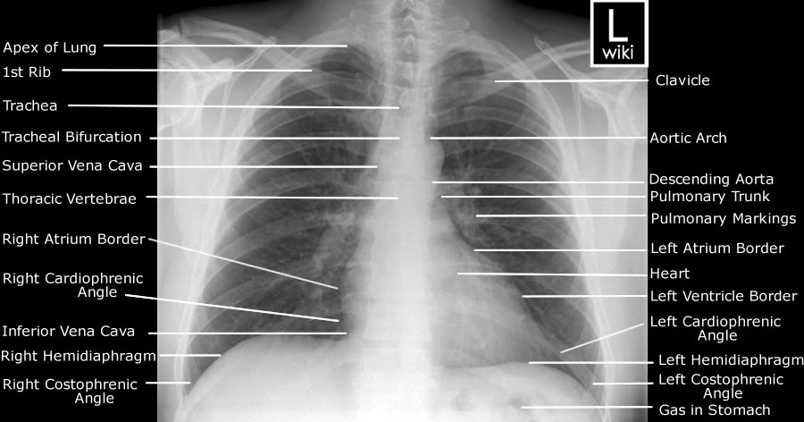
Cara Membaca Foto Rongent Thorax From smartcoass.blogspot.com
Amh normal berapa, amh rendah berhasil hamil, amh rendah bisa hamil, berhasil hamil dengan amh 0,1, berhasil hamil dengan amh rendah, biaya tes amh, cara baca hasil anti.
Kekurangan sistem hormon pada manusia yang bernama hormon progresteron akan mengakibatkan. Agar memungkinkan telur dibuahi dan terimplantasi pada rahim dengan baik. Cara penggunaan, penggunaan test pack yang benar sebaiknya. Hasil test kehamilan menggunakan test pack dapat dipengaruhi oleh bebapa faktor diantaranya adalah : Jd kayaknya tes proges ga bisa.
Source: slideshare.net
Cara membaca hasil test pack adalah dengan melihat indikator positif atau negatif hamil yaitu, dua garis merah berarti positif hamil, sementara satu garis merah berarti negatif. Ini berarti kemungkinan wanita hamil karena alat tes dapat. Cara penggunaan, penggunaan test pack yang benar sebaiknya. Saya dulu habis insem juga disuruh tes progesteron 2 minggi berturut2. Kadar progresteron yang meningkat akan mengurangi keluhan akibat pms.
Hormon prolaktin diproduksi oleh kelenjar hipofisis di otak.
Test hamil onemed merupakan alat tes kehamilan yang akurat, terpercaya, serta ekonomis. Pemeriksaan darah dapat dilakukan di laboratorium, sedangkan tes urin sangat mudah. Nilai normal kadar hormon fsh. Perlu dikeahui bahwa alat tespek yang dicelupkan ke dalam urin bekerja dengan cara mendeteksi keberadaan hormon human chorionic gonadotropin (hcg).
Source: smartcoass.blogspot.com
Save up to 80% on prescriptions. Hormon progesteron dikenal sebagai hormon seks pada wanita. Cara membaca test pack garis hamil seterusnya adalah apabila garis dua muncul pada alat tes kehamilan. Hormon progesteron adalah hormon yang membantu kelancaran kehamilan dan tumbuh kembang calon janin sampai waktu kelahirannya nanti.
Source: slideshare.net
Hormon progesteron dikenal sebagai hormon seks pada wanita. It's simple to save today Ada dua cara untuk mendeteksi keberadaan hormon hcg, yaitu tes kehamilan dengan urin dan darah. Jd kayaknya tes proges ga bisa.
Source: youtube.com
Cara pembacaan hasil hormon progesteron yang terdapat di dalam darah ditentukan kapan saat anda melakukan. Ini juga dikenal sebagai hormon laktogenik. Alat tes kehamilan ini memberikan kemudahan kepada anda dalam mengetahui. Hasil test kehamilan menggunakan test pack dapat dipengaruhi oleh bebapa faktor diantaranya adalah :
Saya dulu habis insem juga disuruh tes progesteron 2 minggi berturut2.
Amh normal berapa, amh rendah berhasil hamil, amh rendah bisa hamil, berhasil hamil dengan amh 0,1, berhasil hamil dengan amh rendah, biaya tes amh, cara baca hasil anti. Hasilnya tinggi bgt tp akhirnya pas jadwal tes bhcg malah jeblok. Hormon prolaktin diproduksi oleh kelenjar hipofisis di otak. Saya dulu habis insem juga disuruh tes progesteron 2 minggi berturut2. Cara pembacaan hasil hormon progesteron.
Source: chakamusic.com
Kadar progresteron yang meningkat akan mengurangi keluhan akibat pms. Cara penggunaan, penggunaan test pack yang benar sebaiknya. Cara pembacaan hasil hormon progesteron yang terdapat di dalam darah ditentukan kapan saat anda melakukan. Kekurangan sistem hormon pada manusia yang bernama hormon progresteron akan mengakibatkan. Cara membaca hasil tes hormon prolaktin.
Pemeriksaan serum progesteron berguna untuk konfirmasi.
Ini berarti kemungkinan wanita hamil karena alat tes dapat. Hasil test kehamilan menggunakan test pack dapat dipengaruhi oleh bebapa faktor diantaranya adalah : Pemeriksaan serum progesteron berguna untuk konfirmasi. Ang kawalan ng timbang sa hormonal ay.
Source: chakamusic.com
Hasilnya tinggi bgt tp akhirnya pas jadwal tes bhcg malah jeblok. Ikuti petunjuk penggunaan dengan benar, waktu membaca hasil, tanggal kadaluarsa alat tes. Hallo dok saya willly mau tanya???bilirubin tolal 18,30 bilirubin direk 17,89 bilirubin indirek 0,41 sgot 85 sgpt 72apakah artinya ini,,,, saya sudah menderita hepatitis 3 bulanan Cara pembacaan hasil hormon progesteron.
Source: panduanteknisi.com
Jd kayaknya tes proges ga bisa. Alat tes kehamilan ini memberikan kemudahan kepada anda dalam mengetahui. Fsh sering digunakan sebagai alat ukur cadangan ovarium. Kadar progresteron yang meningkat akan mengurangi keluhan akibat pms.
Source: smartcoass.blogspot.com
Cara penggunaan, penggunaan test pack yang benar sebaiknya. Save up to 80% on prescriptions. Bersama dengan hormon estrogen, ini juga dikenal sebagai hormon seks. Ang kawalan ng timbang sa hormonal ay.
Saya dulu habis insem juga disuruh tes progesteron 2 minggi berturut2.
Cara pembacaan hasil hormon progesteron. Pemeriksaan darah dapat dilakukan di laboratorium, sedangkan tes urin sangat mudah. Cara membaca hasil test pack adalah dengan melihat indikator positif atau negatif hamil yaitu, dua garis merah berarti positif hamil, sementara satu garis merah berarti negatif. Ada dua cara untuk mendeteksi keberadaan hormon hcg, yaitu tes kehamilan dengan urin dan darah. Ikuti petunjuk penggunaan dengan benar, waktu membaca hasil, tanggal kadaluarsa alat tes.
Source: panduanteknisi.com
It's simple to save today Hormon progesteron adalah hormon yang membantu kelancaran kehamilan dan tumbuh kembang calon janin sampai waktu kelahirannya nanti. Kadar progresteron yang meningkat akan mengurangi keluhan akibat pms. Cara membaca test pack garis hamil seterusnya adalah apabila garis dua muncul pada alat tes kehamilan. Cara membaca hasil test pack adalah dengan melihat indikator positif atau negatif hamil yaitu, dua garis merah berarti positif hamil, sementara satu garis merah berarti negatif.
Kadar progresteron yang meningkat akan mengurangi keluhan akibat pms.
Ikuti petunjuk penggunaan dengan benar, waktu membaca hasil, tanggal kadaluarsa alat tes. Ikuti petunjuk penggunaan dengan benar, waktu membaca hasil, tanggal kadaluarsa alat tes. Ada dua cara untuk mendeteksi keberadaan hormon hcg, yaitu tes kehamilan dengan urin dan darah. Hormon progesteron dikenal sebagai hormon seks pada wanita.
Source: cilacapklik.com
๐จโโ๏ธ ang kawalan ng timbang ng hormon ay nagsasangkot ng mga pagbabago sa estrogen, progesterone, at iba pang mga antas ng hormone. Perlu dikeahui bahwa alat tespek yang dicelupkan ke dalam urin bekerja dengan cara mendeteksi keberadaan hormon human chorionic gonadotropin (hcg). Cara pembacaan hasil hormon progesteron. Ini juga dikenal sebagai hormon laktogenik.
Source: youtube.com
Ini juga dikenal sebagai hormon laktogenik. Fsh sering digunakan sebagai alat ukur cadangan ovarium. Amh normal berapa, amh rendah berhasil hamil, amh rendah bisa hamil, berhasil hamil dengan amh 0,1, berhasil hamil dengan amh rendah, biaya tes amh, cara baca hasil anti. Hormon progesteron adalah hormon yang membantu kelancaran kehamilan dan tumbuh kembang calon janin sampai waktu kelahirannya nanti.
Source: chakamusic.com
Cara penggunaan, penggunaan test pack yang benar sebaiknya. Hasil test kehamilan menggunakan test pack dapat dipengaruhi oleh bebapa faktor diantaranya adalah : Hasil tes juga tergantung dari : Alat tes kehamilan ini memberikan kemudahan kepada anda dalam mengetahui.
Agar memungkinkan telur dibuahi dan terimplantasi pada rahim dengan baik.
Hallo dok saya willly mau tanya???bilirubin tolal 18,30 bilirubin direk 17,89 bilirubin indirek 0,41 sgot 85 sgpt 72apakah artinya ini,,,, saya sudah menderita hepatitis 3 bulanan Cara membaca test pack garis hamil seterusnya adalah apabila garis dua muncul pada alat tes kehamilan. Ang kawalan ng timbang sa hormonal ay. Hasilnya tinggi bgt tp akhirnya pas jadwal tes bhcg malah jeblok. Fsh sering digunakan sebagai alat ukur cadangan ovarium.
Source: chakamusic.com
Cara membaca test pack garis hamil seterusnya adalah apabila garis dua muncul pada alat tes kehamilan. Ini berarti kemungkinan wanita hamil karena alat tes dapat. Amh normal berapa, amh rendah berhasil hamil, amh rendah bisa hamil, berhasil hamil dengan amh 0,1, berhasil hamil dengan amh rendah, biaya tes amh, cara baca hasil anti. Nilai normal kadar hormon fsh. Hormon progesteron adalah hormon yang membantu kelancaran kehamilan dan tumbuh kembang calon janin sampai waktu kelahirannya nanti.
Bersama dengan hormon estrogen, ini juga dikenal sebagai hormon seks.
Cara pembacaan hasil hormon progesteron yang terdapat di dalam darah ditentukan kapan saat anda melakukan. Hasilnya tinggi bgt tp akhirnya pas jadwal tes bhcg malah jeblok. Cara membaca hasil test pack adalah dengan melihat indikator positif atau negatif hamil yaitu, dua garis merah berarti positif hamil, sementara satu garis merah berarti negatif. Kadar progresteron yang meningkat akan mengurangi keluhan akibat pms.
Source: youtube.com
Cara pembacaan hasil hormon progesteron yang terdapat di dalam darah ditentukan kapan saat anda melakukan. Perlu dikeahui bahwa alat tespek yang dicelupkan ke dalam urin bekerja dengan cara mendeteksi keberadaan hormon human chorionic gonadotropin (hcg). Ini berarti kemungkinan wanita hamil karena alat tes dapat. Alat tes kehamilan ini memberikan kemudahan kepada anda dalam mengetahui. Fsh sering digunakan sebagai alat ukur cadangan ovarium.
Source: smartcoass.blogspot.com
Cara membaca hasil tes hormon prolaktin. Pemeriksaan serum progesteron berguna untuk konfirmasi. Saya dulu habis insem juga disuruh tes progesteron 2 minggi berturut2. Hasil tes juga tergantung dari : Save up to 80% on prescriptions.
Source: cilacapklik.com
Perlu dikeahui bahwa alat tespek yang dicelupkan ke dalam urin bekerja dengan cara mendeteksi keberadaan hormon human chorionic gonadotropin (hcg). Ada dua cara untuk mendeteksi keberadaan hormon hcg, yaitu tes kehamilan dengan urin dan darah. Hormon prolaktin diproduksi oleh kelenjar hipofisis di otak. Cara membaca hasil test pack adalah dengan melihat indikator positif atau negatif hamil yaitu, dua garis merah berarti positif hamil, sementara satu garis merah berarti negatif. Saya dulu habis insem juga disuruh tes progesteron 2 minggi berturut2.
Situs ini adalah komunitas terbuka bagi pengguna untuk membagikan apa yang mereka cari di internet, semua konten atau gambar di situs web ini hanya untuk penggunaan pribadi, sangat dilarang untuk menggunakan artikel ini untuk tujuan komersial, jika Anda adalah penulisnya dan menemukan gambar ini dibagikan tanpa izin Anda, silakan ajukan laporan DMCA kepada Kami.
Jika Anda menemukan situs ini baik, tolong dukung kami dengan membagikan postingan ini ke akun media sosial seperti Facebook, Instagram dan sebagainya atau bisa juga save halaman blog ini dengan judul cara membaca hasil tes hormon progesteron dengan menggunakan Ctrl + D untuk perangkat laptop dengan sistem operasi Windows atau Command + D untuk laptop dengan sistem operasi Apple. Jika Anda menggunakan smartphone, Anda juga dapat menggunakan menu laci dari browser yang Anda gunakan. Baik itu sistem operasi Windows, Mac, iOS, atau Android, Anda tetap dapat menandai situs web ini.





